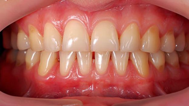
It’s not as if any of the visible signs of aging are the kinds of things to celebrate – quite the opposite, in fact. But when you’re looking at a sign of aging that affects your smile, you find yourself in a situation where your confidence really can take a huge knock. To lose confidence in your smile is to lose the motivation to smile, which really is an unfortunate situation to be in. Nevertheless, it’s exactly the situation thousands find themselves facing every year, having become painfully aware of the fact that their gums are starting to recede.
The thing is though, receding gums are not only caused by the aging process and nor is it an oral health condition that everyone faces during their lifetime. Some avoid it altogether, just as some find their gums are starting to recede at a much earlier age. In some instances, receding gums can be a tell-tale sign of something much more serious going on behind the scenes, which is precisely why they should never be ignored or overlooked.
And of course, what could be more important than restoring confidence in your smile?
A Common Condition
Research has shown that far from an uncommon condition, somewhere in the region of 75% of adults will have problems with their gums during their lifetime. In most instances, there are very few detectable symptoms and the condition sits silently behind the scenes doing very little. In other however, it can trigger a wide variety of unpleasant symptoms, which include but are not limited to:
- Receding gums
- Bleeding gums
- Heightened gum sensitivity
- Painful gums
- Inflammation
- Swelling
- Tooth loss
More often than not, the earliest indication that you may have a problem with gum health is that of bleeding gums. It doesn’t have to be a lot of blood and nor does it have to be frequent – just seeing blood once or twice on your toothbrush could be a sign of gum disease. When caught early and addressed appropriately, gum disease can be relatively harmless and easy to treat. When overlooked however, it can become increasingly severe over time and ultimately lead to both receding gums and tooth loss.
In fact, it’s estimated that around 70% of cases of adult tooth loss are the result of gum disease. The tragedy being that in most instances, addressing the problem just a little earlier could have prevented the tooth from being lost with relative ease.
Prevention of Receding Gums
As it is the case with all oral health issues, it is far easier to prevent receding gums from occurring in the first place than to try and tackle an advanced case. But at the same time, there’s always plenty that can be done to help the cause, even if you have become aware that your gums have already started receding.
In any and all cases, the most important thing to do is of course speak to your dentist at the earliest possible stage for professional advice. Along with this, a few simple changes in lifestyle habits can add up to a big difference, for the health of your gums and teeth alike.
Experts advise that those concerned should:
- Maintain the most consistent and high-quality oral hygiene regime possible, brushing at least twice every day and using the very best products on the market. From the very best mouthwash for receding gums to the best electric toothbrush for sensitive gums and any pastes or other products as recommended by your dentist, steer clear of bargain-basement lines and go for the very best.
- Flossing is just as important as brushing, given the fact that much of the tooth’s surface cannot be cleaned with a conventional toothbrush. Once again, it’s important to choose products of the highest possible quality and ideally those that were created specifically with receding gums and general gum health in mind.
- Steer clear of any brushes with hard/stiff bristles, as these can exacerbate problems with the gums, rather than improving them. The same also goes for the action you adopt while brushing, which should be gentle and consistent, rather than harsh, vigorous and erratic.
- Another highly effective approach is that of arranging for professional tooth cleaning to be carried out on a regular basis by a dental professional. Not only can this ensure that the teeth are cleaned immaculately and comprehensively, but also that no damage is done in the process. In addition, professional cleaning gives your dentist the perfect opportunity to check and monitor for health problems with your teeth and gums, which could stand to be addressed.
- Your entire body (your mouth being no exception) will only ever be as healthy as you allow it to be with the fuel and nutrients you provide it with. If you only provide your body with the finest nutrients it needs by way of a balanced diet combined with plenty of exercise, it will naturally be able to do its job more effectively with stronger natural defences. By contrast, load it with garbage while living a sedentary lifestyle and you open the door to an endless range of health problems – including those affecting your teeth, gums and mouth.
- In the same vein, drinking alcohol, smoking and recreational drug use are likewise known to take a direct and serious toll on oral health. When it comes to slowing, stopping or even preventing gum disease and receding gums in the first place, these are exactly the kinds of lifestyle habits experts agree should be stopped right away.
Over and above all else, a healthy oral hygiene regime and regular check-ups with a dental professional represent the most effective treatments and preventive measures for receding gums. Nevertheless, the better you take care of your teeth and the more proactive you are, the lower the likelihood receding gums will adversely affect your smile, your shine and your self-confidence.
