Teaching your children healthy oral hygiene habits from an early age is your best defence against tooth decay and other dental concerns. But, knowing … [Read more...]
Perfect Guide to Great Oral Health for Kids
As parents, we can positively attest to the challenges we face when it comes to our children’s oral health. We all love that sweet smile from our … [Read more...]
10 Benefits to Flossing Your Teeth
All the Benefits to Flossing Your TeethPeople who choose to not floss regularly are not considering how important the process is to healthy teeth … [Read more...]
Printable Dental Hygiene for Kids
Did you know that good dental hygiene plays an important role in child development? In fact, how well you care for your child's teeth has a direct … [Read more...]
Teaching Kids About Oral Hygiene
Savvy parents today know that the key to good dental health for a lifetime starts at birth. No more do we wait around for that first tooth to sprout … [Read more...]
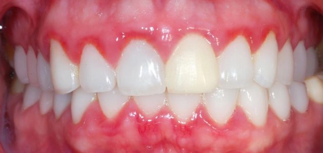
Get Rid Of Gingivitis With This Mouthwash
Are you facing the somewhat painful experience of living with gingivitis? Are you tired of waking up to swollen games that bleed every time that you … [Read more...]
Naturally Clean, White Teeth for Kids
Once your child loses his or her baby teeth, permanent teeth will come on that will stick with your child for the rest of his or her life. Taking care … [Read more...]
Top 10 Foods to Whiten Teeth
It is possible for perfectly healthy teeth to be ivory or yellowish, but in modern times, a bright white smile is considered appealing and attractive. … [Read more...]
Dental Health for Kids
Good dental health starts when you’re young. If you want your kids to have healthy teeth and gums, you need to promote good habits early on. Many of … [Read more...]
6 Tips to Get Brighter, Whiter Teeth in No Time
Nearly 20 percent of us conceal our teeth in photos in some form or fashion. With a statistic like that, it’s pretty apparent that having great teeth … [Read more...]









